✨在大阪,eki marche的秋天! 🍞;✨
2024.11.01
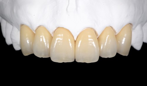
“吉尔科尼亚陶瓷皇冠”是指内侧使用吉尔科尼亚,从上面烧制陶瓷制作而成的被褥(皇冠)。 与全陶瓷相比,其强度更高,耐久性更佳。 另外,由于经年的变色也很少,所以可以维持自然的白色和透明感。 参考其他牙齿的颜色,再现符合您的要求的牙齿。 吉尔科尼亚陶瓷皇冠 154,000日元(含税) ※eki marche大阪越野
牙科、一般牙科(各处理)、口腔外科 诊疗时间周一至周五10点至21点周六9点至20点9点至19点